Điểm tin nhanh ngày 09/02/2026
Theo các nghiên cứu từ CDC Hoa Kỳ, nguy hiểm từ giấm “giả” không phải là vị chua gắt hỗn tạp, mà là những tạp chất kim loại nặng như chì, thủy ngân và thạch tín lẩn khuất bên trong trong quá trình sản xuất giấm hóa học. Đây là những chất không gây đau bụng ngay đâu, mà nó âm thầm tích tụ, bào mòn từ từ lớp niêm mạc dạ dày mỏng manh, rồi lặng lẽ "đóng đô" ở gan, thận để rồi nó gây loét bao tử, suy gan, suy thận.
Bé 10 tuổi suýt liệt vì đột qụy.
Đây là những thông tin chính của bản tin nhanh ngày 09/02/2026
THẾ GIỚI
1. 2 - 3 tách cà phê mỗi ngày: Tim, gan, não thay đổi theo cách khó tin
Theo chuyên gia dinh dưỡng Cory Martin (Mỹ), uống cà phê có thể giúp giảm thiểu nguy cơ mắc các bệnh lý khác nhau và thúc đẩy tuổi thọ, theo trang tin sức khỏe Verywell Health.
Nguồn: thanhnien.vn
2. Cơ chế tự nhiên giúp bảo vệ gan trẻ em từ trong bụng mẹ
Một nghiên cứu mới từ Đại học Oklahoma (Mỹ) đã thắp lên hy vọng về việc ngăn ngừa bệnh gan nhiễm mỡ ở trẻ em bằng một hợp chất đơn giản từ đường ruột.
Nguồn: vietnamplus.vn
3. Đột phá: Các nhà khoa học tìm ra cách ghép thận không cùng nhóm máu
Sau hơn một thập kỷ nghiên cứu, nhóm nhà khoa học đến từ nhiều cơ sở nghiên cứu tại Canada và Trung Quốc cho biết họ đã đạt được một bước tiến quan trọng: biến đổi một quả thận có nhóm máu A thành trạng thái tương đương nhóm O - nhóm máu được xem là “phổ quát” trong truyền máu và có khả năng tương thích rộng hơn trong ghép tạng.
Nguồn: daibieunhandan.vn
VIỆT NAM
1. Tăng cân không chỉ là chuyện ăn uống: Hệ lụy từ cách nhìn sai lầm
Nhiều người cho rằng tăng cân đơn giản là hệ quả của việc ăn quá nhiều. Tuy nhiên, y học hiện đại chỉ ra tăng cân là quá trình phức tạp, chịu tác động của hormone, giấc ngủ, căng thẳng, thuốc men và cơ địa…Tăng cân là một trong những chủ đề sức khỏe phổ biến nhất, nhưng cũng là lĩnh vực tồn tại nhiều hiểu lầm dai dẳng. Quan niệm "ăn nhiều thì béo" khiến không ít người mang cảm giác tội lỗi, tự trách bản thân thiếu ý chí, trong khi thực tế cơ thể con người không vận hành như một chiếc máy tính cộng – trừ calo.
Nguồn: suckhoedoisong.vn
2. Hũ giấm ngày Tết, coi chừng giả
Thông tin trên báo Tuổi Trẻ về vụ hàng chục ngàn lít giấm làm từ axit công nghiệp pha nước lã ở Nghệ An đã được phát hiện và bắt giữ khiến mọi người lo lắng về nguy cơ từ sản phẩm khá quen dùng trong gian bếp mọi nhà.
Nguồn: tuoitre.vn

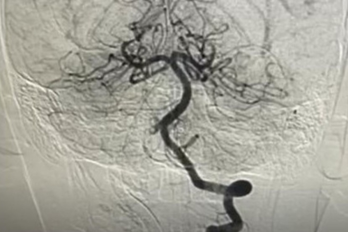
3. Bé 10 tuổi suýt liệt vì đột quỵ
Trước nhập viện, bé tham gia hoạt động thể thao, không ghi nhận chấn thương hay va đập. Tuy nhiên, sau đó xuất hiện các triệu chứng thần kinh cấp tính như đau đầu dữ dội, nôn ói nhiều, rối loạn đi đứng và yếu dần nửa người trái.
Nguồn: thanhnien.vn

Thu Loan, Bá Trình - Trung tâm Kiểm soát bệnh tật Thành phố Hồ Chí Minh (tổng hợp)